子どもの歯の生え替わりはいつから?順番と注意点



「歯がグラグラしてきた!」
「なかなか抜けないけど大丈夫?」
お子さんの歯の生え替わりは、成長の大切なサインです。
今回は、小児歯科の視点から生え替わりの時期・順番・注意点を分かりやすく解説します。
■ 生え替わりはいつから?
個人差はありますが、一般的には👇
- 6歳頃からスタート
- 12歳頃までにほぼ完了
この期間を「混合歯列期」と呼び、乳歯と永久歯が混ざっている時期になります。
■ 生え替わりの順番(目安)
よくある順番はこちら👇
- 下の前歯(6~7歳)
- 上の前歯(7~8歳)
- 奥歯(6歳臼歯)
- 犬歯・小臼歯(9~12歳)
👉 最初に「6歳臼歯」が奥に生えてくるのもポイントです(乳歯の後ろに出てきます)。
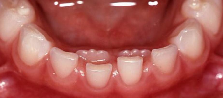
■ よくある心配①「歯が重なって生えてる!」
いわゆる「2枚歯」と呼ばれる状態です。下の前歯でよく見られます。
原因は、
・永久歯が内側から生えてきた
・乳歯がまだ抜けていない
というものです。
多くは自然に乳歯が抜けて整いますが、👉 グラグラしていない場合は歯科でのチェックがおすすめです。
■ よくある心配②「なかなか抜けない」
乳歯が抜けるタイミングには個人差があります。ただし👇
- 永久歯が見えているのに抜けない
- 痛みや腫れがある
この場合は、抜歯が必要になることもあります。
■ 生え替わりの時期に気をつけたいこと
① むし歯になりやすい
生えたばかりの永久歯は👉 とても弱く、むし歯になりやすいです。特に「6歳臼歯」は要注意!
② 仕上げ磨きがまだ必要
「大人の歯だから大丈夫」ではありません。👉 小学校中学年くらいまでは仕上げ磨きをおすすめします。
③ 歯並びのチェックが大切
この時期は歯並びが大きく変わるタイミングです。
- ガタガタしている
- スペースが足りなさそう
- かみ合わせが気になる
👉 早めに相談することで、将来の矯正がスムーズになることもあります。
■ まとめ
歯の生え替わりは、成長の中でとても大切な時期です。
👉 6歳頃からスタートして12歳頃まで続く
👉 一時的にガタガタでも慌てなくてOK
👉 気になることがあれば早めにチェック
👉 6歳頃からスタートして12歳頃まで続く
👉 一時的にガタガタでも慌てなくてOK
👉 気になることがあれば早めにチェック
🦷 お気軽にご相談ください
「これって普通?」「抜いた方がいい?」「歯並びが気になる」
そんな時は、小児歯科でしっかり確認できます。
お子さん一人ひとりに合わせてサポートしていきます。

